The first step in formulating a treatment plan is to determine the type and severity of your acne.
Quality of life is an additional factor that must be considered when assessing acne severity, since someone with only mild breakouts may experience greater psychological distress than someone who may not feel bothered by a case of more extensive acne.
At the Advanced Acne Institute, your acne doctor will evaluate a variety of factors when determining your course of treatment.
In general, dermatologists divide acne breakouts into different degrees of severity. This helps your doctor decide on an acne treatment plan that is most appropriate for the severity of your condition. For example, in those who only have comedones (whiteheads and blackheads), their acne is considered mild acne and does not require aggressive therapy.
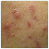
If papules and pustules (pimples) are present, this type of breakout is considered moderate acne.
Cystic acne is considered to be severe acne and is treated accordingly. A tendency to form scars may also influence the type of acne treatment that is prescribed.
Of course, this classification system is not perfect since each case of acne will have some differences, including hormonal acne treatment, treatment for cystic acne, back acne treatment and therapy for other types of breakouts. Nevertheless, it is a useful way of classifying acne and formulating an acne treatment plan.
Mild Acne:
Comedones (blackheads and/or whiteheads) with or without few papules and pustules.

Moderate Acne:
Many papules or pustules (pimples)

Severe Acne:
Nodules or cysts


Acne Scarring
One of the goals of acne treatment is to prevent acne scarring. If acne scars are present, this should be taken into consideration and may increase the intensity of your treatment. Also, the location of the acne on the body is an important factor.
Acne on the body such as back acne, or acne on the chest or shoulders can be more difficult to treat than acne that is limited to the face. These factors should always be considered when formulating an acne treatment program.
The acne doctors at the Advanced Acne Institute will take all of these considerations into account when deciding on the best treatment plan for your unique situation.
